Smile Gallery
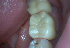
| Bruxir Crowns | |
|
|
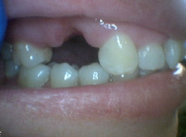
| Post-op Bridge - Pre-op Bridge | |
|
|
| Anterior Wear corrected with Hybrid Resins | |
|
|
|
|
| Zirconia Anterior Crowns | |
|
|
|
|
|
|
|
|
| Bruxir Crown, Cuspal Fracture | |
|
|
| Zirconia Bruxir Crows, Cuspal Fracture | |
|
|
| Bruxir Crown, Fractured Alloy | |
|
|
| Implant Placement | |
|
|
| Worn Translucent Incisal Edges, Translucency Corrected with Hybrid Resins | |
|
|
|
|
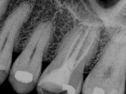
| Arrow, Bruxir Crown, Arrow, Canals Prepared,Vertical Fracture, Postop Root Canal | |
|
|
![]() |
|
|
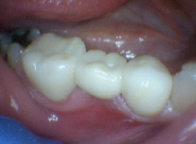
Arrow, implant abutments, implant supported bridge |
|
|
|
| Bridge | |
|
![]() |
|
|
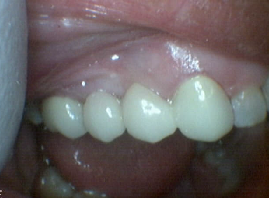
| Zirconia Bridge | |
![]() |
![]() |
|
Bruxir Zirconia Bridge, Fractured Root Remnant, Bridge Abutment Preparations |
|
|
|
|
|
| Splinted Crowns, Severe Coronal Breakdown | |
|
|
|
|
| Bruxir Crown, Defective Alloy | |
|
![]() |
|
|
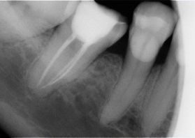
| Bruxir Crown, Vertical Fracture, Postop Rot Canal, Fracture Illumination | |
|
|
|
|
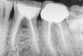
| Bruxir Crown, Hairline Fracture, Prepared Canals, Postop Root Canal | |
|
|
|
|
|
MultiView / Composed |
|
|
|
|
|
Working Hours
- MON - THU8:00 am - 5:00 pm
- FRI8:00 am - 12:00 pm
- SAT - SUNClosed





